Practice A2.1 Origins of cells (HL) with authentic IB Biology exam questions for both SL and HL students. This question bank mirrors Paper 1A, 1B, 2 structure, covering key topics like cell biology, genetics, and ecology. Get instant solutions, detailed explanations, and build exam confidence with questions in the style of IB examiners.
The table shows that the codon UUU codes for phenylalanine in humans, yeast, and E. coli. It also shows that ribosomal RNA sequences are conserved across these groups.
| Codon | Amino Acid | Human | Yeast | E. coli |
|---|---|---|---|---|
| UUU | Phenylalanine | ✓ | ✓ | ✓ |
| rRNA gene region | Sequence conserved | ✓ | ✓ | ✓ |
What does this genomic conservation provide evidence for?
Looking at the diagram, which feature was critical in simulating conditions on early Earth?

The diagram shows RNA molecules catalysing reactions. Why is RNA thought to be the first genetic material?
Which statement provides evidence for endosymbiosis?
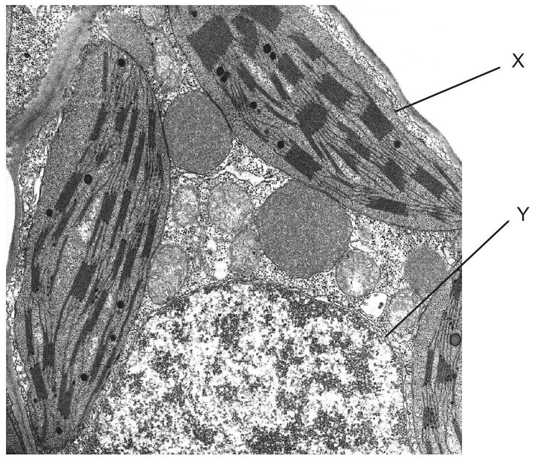
The electron micrograph shows a section through a cell and refers to questions 1 and 2.

Which feature of the cell in the micrograph is consistent with the endosymbiotic theory?
What is evidence for the endosymbiotic theory?
Explain how the process of endosymbiosis led to the development of mitochondria and chloroplasts in eukaryotic cells.
The first iron ore deposits in rocks appeared about 1.8 billion years ago. What took place to make this occur?
How do both mitochondria and chloroplasts provide evidence for the endosymbiotic theory?
With reference to the process of prebiotic synthesis shown in the diagram, explain how hydrothermal vents could have provided the necessary conditions for the synthesis of organic compounds.