Practice A3.1 Diversity of organisms with authentic IB Biology exam questions for both SL and HL students. This question bank mirrors Paper 1A, 1B, 2 structure, covering key topics like cell biology, genetics, and ecology. Get instant solutions, detailed explanations, and build exam confidence with questions in the style of IB examiners.
According to the morphological species concept, how are organisms classified as belonging to the same species?
Which scenario best highlights a limitation of the biological species concept?
What aspect of speciation makes the classification of diverging populations particularly difficult?
In a population of genetically identical bacteria, exposure to different environmental conditions results in varied protein expression. What does this demonstrate about biological variation?
What characteristic is commonly used to identify and classify chromosomes in a karyogram?
Which of the following statements best describes what can be inferred from the difference in chromosome numbers between humans and chimpanzees?
A scientist identifies a newly discovered frog as Rana temporaria. What conclusion can be drawn from this name?
It is sometimes difficult to determine when two populations should be considered different species. Which of the following explains the reason for this?
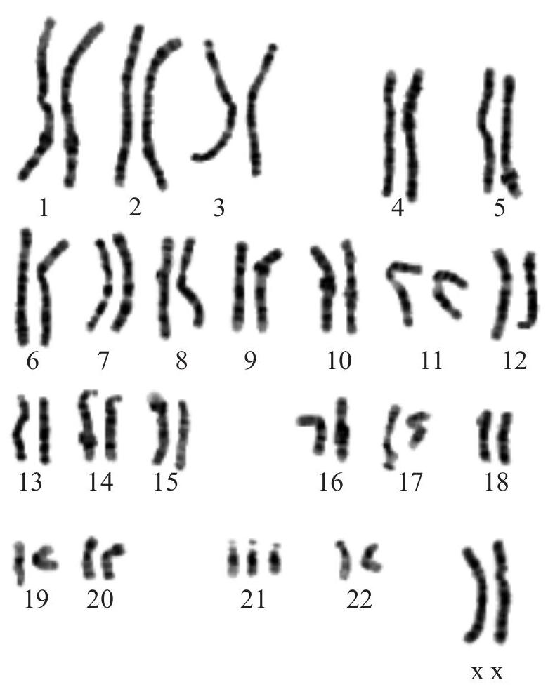
What can be concluded on the basis of the following karyotype?

The system of sex determination in chimpanzees (Pan troglodytes) is the same as in other mammals. A chimpanzee has 48 chromosomes in the nuclei of its body cells. What can be deduced from this information?
Practice A3.1 Diversity of organisms with authentic IB Biology exam questions for both SL and HL students. This question bank mirrors Paper 1A, 1B, 2 structure, covering key topics like cell biology, genetics, and ecology. Get instant solutions, detailed explanations, and build exam confidence with questions in the style of IB examiners.
According to the morphological species concept, how are organisms classified as belonging to the same species?
Which scenario best highlights a limitation of the biological species concept?
What aspect of speciation makes the classification of diverging populations particularly difficult?
In a population of genetically identical bacteria, exposure to different environmental conditions results in varied protein expression. What does this demonstrate about biological variation?
What characteristic is commonly used to identify and classify chromosomes in a karyogram?
Which of the following statements best describes what can be inferred from the difference in chromosome numbers between humans and chimpanzees?
A scientist identifies a newly discovered frog as Rana temporaria. What conclusion can be drawn from this name?
It is sometimes difficult to determine when two populations should be considered different species. Which of the following explains the reason for this?
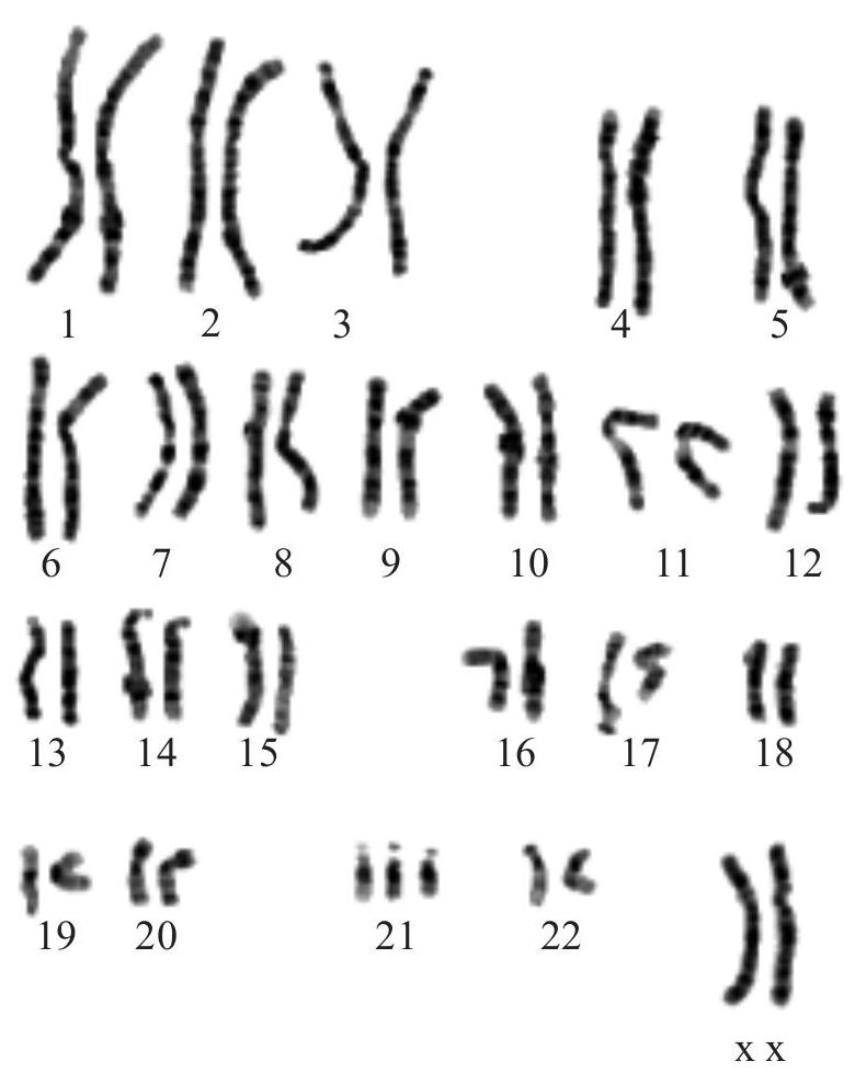
What can be concluded on the basis of the following karyotype?

The system of sex determination in chimpanzees (Pan troglodytes) is the same as in other mammals. A chimpanzee has 48 chromosomes in the nuclei of its body cells. What can be deduced from this information?