Practice C - Interaction and Interdependence with authentic IB Biology exam questions for both SL and HL students. This question bank mirrors Paper 1A, 1B, 2 structure, covering key topics like cell biology, genetics, and ecology. Get instant solutions, detailed explanations, and build exam confidence with questions in the style of IB examiners.
A community in ecology refers to:
A student measures the rate of yeast respiration by collecting CO₂ in a syringe over time. What is the best unit to express the result?
What is a defining feature of autotrophs?
EPSPs (excitatory postsynaptic potentials) are small depolarizations that accumulate to trigger an action potential in the postsynaptic cell.
Which feature of dendrites enhances this integration?
A nerve is made up of:
Based on the image, which numbered step represents the antigen-specific selection of a B-lymphocyte before clonal expansion occurs?

Which function is most associated with the brain, rather than the spinal cord?
Some bacteria can synthesize the amino acid isoleucine from threonine, a process involving five enzymes ( to ) and four intermediary products (P, Q, R and S). The production of isoleucine is controlled by end-product inhibition.

Which statement describes this end-product inhibition?
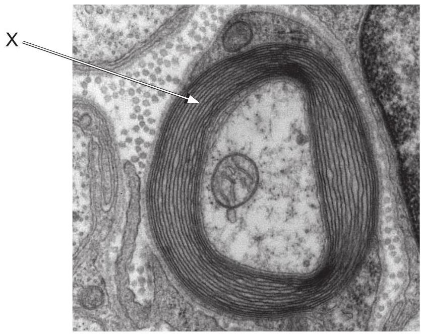
The electron micrograph shows a transverse section through a myelinated neuron.

What process is facilitated by the presence of the structure labelled X?
Which statement best compares absorption and action spectra?
Practice C - Interaction and Interdependence with authentic IB Biology exam questions for both SL and HL students. This question bank mirrors Paper 1A, 1B, 2 structure, covering key topics like cell biology, genetics, and ecology. Get instant solutions, detailed explanations, and build exam confidence with questions in the style of IB examiners.
A community in ecology refers to:
A student measures the rate of yeast respiration by collecting CO₂ in a syringe over time. What is the best unit to express the result?
What is a defining feature of autotrophs?
EPSPs (excitatory postsynaptic potentials) are small depolarizations that accumulate to trigger an action potential in the postsynaptic cell.
Which feature of dendrites enhances this integration?
A nerve is made up of:
Based on the image, which numbered step represents the antigen-specific selection of a B-lymphocyte before clonal expansion occurs?

Which function is most associated with the brain, rather than the spinal cord?
Some bacteria can synthesize the amino acid isoleucine from threonine, a process involving five enzymes ( to ) and four intermediary products (P, Q, R and S). The production of isoleucine is controlled by end-product inhibition.

Which statement describes this end-product inhibition?
The electron micrograph shows a transverse section through a myelinated neuron.

What process is facilitated by the presence of the structure labelled X?
Which statement best compares absorption and action spectra?