Practice C2.2 Neural signalling with authentic IB Biology exam questions for both SL and HL students. This question bank mirrors Paper 1A, 1B, 2 structure, covering key topics like cell biology, genetics, and ecology. Get instant solutions, detailed explanations, and build exam confidence with questions in the style of IB examiners.
EPSPs (excitatory postsynaptic potentials) are small depolarizations that accumulate to trigger an action potential in the postsynaptic cell.
Which feature of dendrites enhances this integration?
After calcium enters the presynaptic terminal, what is the next step in neurotransmission?
In a neuron with a myelinated axon, which of the following would occur at the nodes of Ranvier?
What is the role of the hypothalamus–pituitary complex?
A student injects a neurotoxin that prevents calcium influx into the presynaptic terminal of a motor neuron.
Which of the following would most likely occur?
Which statement best explains why the inside of a resting neuron is negative relative to the outside?
What is the function of dendrites?
Which of the following is a direct effect of epinephrine (adrenaline)?
What ensures that an action potential only travels in one direction along an axon?
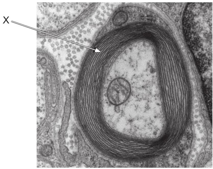
The electron micrograph shows a transverse section through a myelinated neuron.

What process is facilitated by the presence of the structure labelled X?